Injection Resin Technique – Dr. Douglas A. Terry
Dr. Douglas A. Terry
An 85-year-old patient presented with incisal wear and discoloration of the mandibular anterior teeth. The orthodontist had proceeded with a unidisciplinary treatment and referred the patient to our restorative team for occlusal and esthetic evaluation after the patient indicated their concerns. There was inadequate occlusal dimension, and it was decided to intrude the mandibular anterior teeth and alter and improve the occlusal scheme using a minimally invasive preparation and the injection resin technique prior to the completion of orthodontics. A diagnostic wax-up was used to guide the restorative plan, and an EXACLEAR™ (a clear VPS material) matrix was fabricated to accurately transfer the new anatomical contours. Restorations were carried out tooth by tooth, ensuring optimal function and esthetics with a conservative approach suited for a geriatric patient.
Dr. Terry attended dental school at the University of Texas Health Science Center Dental Branch at Houston, graduating in 1978. The inspiration for the first edition of Esthetic and Restorative Dentistry: Material Selection and Technique came from a desire among Dr. Terry and his colleagues, both dentists and technicians, for a definitive resource that showed not just what to use and when, but also how. Dr. Terry has written a total of six books with Quintessence, which have been translated into multiple languages and distributed internationally. Dr. Terry is an internationally recognized teacher, lecturer, author, and mentor, with a deep commitment to helping improve the advancements of dentistry.
Initial situation with orthodontic brackets.
A diagnostic wax-up for an ideal occlusal scheme was fabricated after removal of the orthodontic brackets.
Teeth preps: 0.3mm intra-enamel scalloped chamfer preparation was placed on the facial of the mandibular incisors and a 0.5-mm bevel in enamel.
An EXACLEAR™ matrix fabricated to replicate the wax-up on the mandibular arch. Access holes above teeth to be restored made using a tapered diamond bur.
Shade comparison and determination.
Isolation and etching with a 37.5% phosphoric acid for 15 seconds, then rinsed for 5 seconds and gently air dried.
Application of G-Premio BOND™ for 10 seconds, air drying for 5 seconds, then light cured for 10 seconds.
The EXACLEAR™ matrix was placed over the anterior segment of the mandibular arch, and G-ænial™ Universal Injectable - Shade AO3 was injected followed by Shade A3, then light-cured.
The excess polymerized composite resin was removed with a scalpel blade (#12 BD Bard-Parker).
Finishing and polishing.
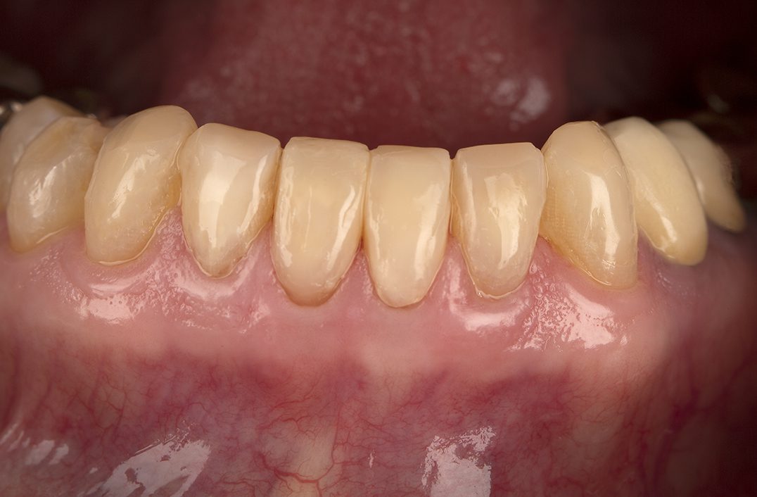
Completed composite veneers with improved anatomical form and function.
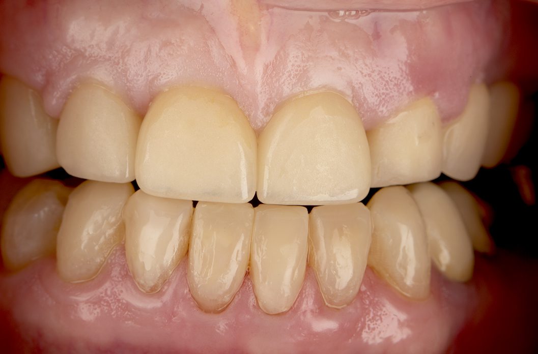
Final result.
