Amalgam Replacement – Compromised Case – Dr. Victor Cedillo
Dr. Victor Cedillo
A 48-year-old patient presented with discoloration around an existing silver amalgam restoration on tooth #18. Clinical examination, supported by radiographic findings, revealed the presence of secondary caries beneath the amalgam restorations on both teeth #18 and #19. Given the compromised marginal integrity and the patient's concern about aesthetics and long-term tooth preservation, a decision was made to replace both amalgam restorations.
EQUIA Forte® HT was selected as the material of choice due to its resistance to microleakage, high fluoride release, and enhanced wear resistance. Its ability to chemically bond to tooth structure and promote remineralization made it an ideal option for managing recurrent caries while preserving tooth vitality and improving overall restoration longevity.
Pre-operative: Tooth #18 and #19 with existing amalgam restorations showing marginal discoloration below enamel.
Amalgam removed and caries detecting dye applied for 10 seconds to highlight residual caries, followed by rinsing and gentle drying.
GC CAVITY CONDITIONER applied for 10 seconds, then rinsed and gently dried without desiccating dentin.
Blot drying final cavity preparations to maintain moist dentin, essential for optimal adhesion of glass hybrid restorative material.
EQUIA Forte® HT placed into the cavities to restore form and function.
Removal of excess and occlusal adjustments to ensure proper occlusion and patient comfort.
EQUIA Forte® Coat applied to seal, strengthen and protect the restoration.
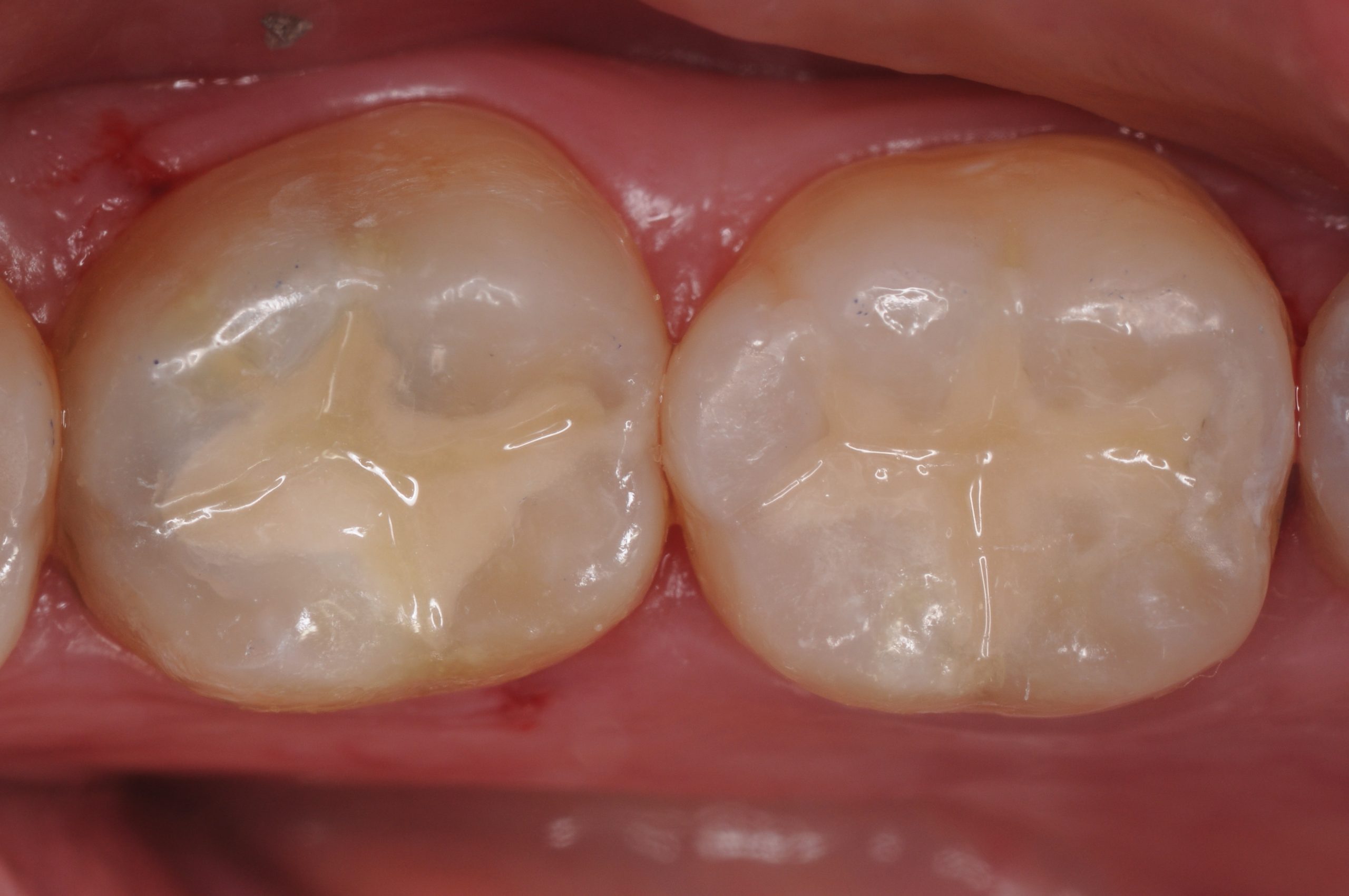
Completed esthetic restorations on teeth #18 and #19 with smooth finish, natural appearance, and functional integrity.
